Mittwoch, 28. Mai 2025
VADIAN.NET, St.Gallen



Nachrichten.ch

Aktuell

Forum


Inland

Solothurn hat gewählt: SP triumphiert und wird stärkste Kraft im neuen Gemeinderat

Schlosswiese Kreuzlingen: Stadt entgeht Millionen-Entschädigung

Arosas Stimmberechtigte können sich jetzt zum E-Voting anmelden

Weniger Fliegen, mehr fürs Klima: Zürichs Wirtschaft sucht neue Wege

Wirtschaft

Risikobasierte Buchhaltung: Mit Finanzdaten die Unternehmenszukunft sicherer gestalten

Musik und Berge: Migros Hiking Sounds kommt 2025 nach Gstaad-Schönried

Kreativität im Korsett: Wie Schweizer Regeln die Namensfindung für Veggie-Produkte beflügeln

Globaler Gesundheitspakt: Die Welt rüstet sich für künftige Pandemien

Ausland

OpenAI nimmt Kurs auf die Emirate: Pläne für KI-Rechenzentren von enormer Dimension

KI-Chips: Tauwetter aus Washington? USA rudern bei Exportregeln zurück

Künstliche Intelligenz, Drohnenschwärme und Hyperschallwaffen - das neue Wettrüsten

Künstliche Intelligenz: Milliardenmarkt birgt Risiko wachsender Ungleichheit

Sport

Lenzerheide 2025: Die Weltelite des Mountainbike-Sports und ein emotionaler Abschied

Adrenalin pur in der Schweiz: Die besten Aktivitäten für Adrenalinjunkies

Klare Sicht, sichere Fahrt: Warum eine Brille beim Radfahren Sinn macht

Oakley Sportbrillen: Eine Legende in Design und Funktion

Kultur

Beyond Blue: Eine Basler Entdeckungsreise in die unendlichen Facetten einer Farbe

Die Avantgarde im Blick: Die Sammlung Helga und Edzard Reuter wird versteigert

Lucia Moholy: Mehr als Bauhaus - Eine Pionierin im Fokus der Fotostiftung Schweiz

Initiative «Kulturexpress» belebt Thuner Kulturszene

Kommunikation

Diskretion im digitalen Zeitalter: Wie viel Privatheit bleibt noch?

Vom Nebenjob zur Marke: Wie sich digitale Selbstvermarktung zur Geschäftsstrategie entwickelt

Von Bar bis QR-Code: geeignete Zahlungskombination für kleine Unternehmen einrichten

Präzise Planung, Fortschritt im Blick: Wie Zeiterfassung Projekte zum Erfolg führt

Boulevard

Appenzells Flüsse atmen auf: Wasserqualität verbessert, doch Herausforderungen bleiben

Thun im Jahrmarktfieber: Der «Budeler» öffnet bald seine Pforten

Winterthur: Klimaschutz zum Anfassen und Geniessen

Akustikpaneele neu gedacht: Wie moderne Lösungen Räume revolutionieren

Wissen

MINT-Förderung in der Schweiz: Kurs halten trotz rauer See

KI im Büro: Produktivitäts-Booster oder Image-Killer?

Aufwind für die Berufskarriere: Bundesrat stärkt höhere Berufsbildung

Hoffnung im Kampf gegen die «stille Pandemie»: Innovative Sensoren spüren Superkeime auf

Wetter


Kolumne


Möchten Sie zu diesen Themen eine eigene
Internetpräsenz aufbauen?

www.emissions.ch  www.sicherheit.eu  www.proteinansammlungen.at  www.krankheit.de  www.zusammenhang.org  www.verbindung.net  www.sichtbarwerden.info  www.institute.com  www.forscher.ch  www.wissenschaftler.eu  www.radiological.at

Registrieren Sie jetzt komfortabel attraktive Domainnamen!

Branchenbuch.ch
Domainregistration seit 1995
Internes

Impressum


Werbung


Publireportagen


Newsfeed


Die veröffentlichten Inhalte sind ausschliesslich zum persönlichen Gebrauch bestimmt. Die Vervielfältigung, Publikation oder Speicherung in Datenbanken, jegliche kommerzielle Nutzung sowie die Weitergabe an Dritte sind nicht gestattet.

Nachrichten.ch (c) Copyright 2025 by news.ch / VADIAN.NET AG

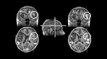
Alzheimer: Scans zeigen Proteinansammlungen auf

Chiba - Wissenschaftler des National Institute of Radiological Sciences haben richtungsweisende Darstellungen des Gehirns, die Ansammlungen von zerstörenden Proteinen in Zusammenhang mit Alzheimer sichtbar machen entwickelt.

asp / Quelle: pte / Donnerstag, 19. September 2013 / 12:02 h

Damit könnten neue Verfahren zur Diagnose dieser Krankheit und Tests zur Wirksamkeit von Medikamenten möglich werden.
Protein Tau hauptverantwortlich

Laut dem im Fachmagazin Neuron beschriebenen Verfahren lassen sich im Gehirn eines lebenden Menschen Klumpen des Proteins Tau sichtbar machen, das in einem engen Zusammenhang mit Alzheimer steht. Alzheimer stellt die Forschung bei der Entwicklung von Heilungsverfahren vor Probleme. Das Gehirn beginnt Jahre vor dem Sichtbarwerden erster Symptome abzubauen.

Die Forscher arbeiten daran, dass Medikamente bereits bei ersten Frühindikatoren verabreicht werden können. Eine Diagnose kann erst nach dem Tod mit absoluter Sicherheit erstellt werden, wenn das Gehirn untersucht worden ist. Gleichzeitig ist nicht mit absoluter Sicherheit geklärt, was die Ursache und was nur Symptome dieser Krankheit sind.

Detaillierte 3D-Bilder geben Einblick

Das Protein Tau steht in enger Verbindung mit Alzheimer.



Das Ziel sind frühzeitig einsetzbare Tests und eine schnellere Medikamentengabe.(Symbolbild) /

Ansammlungen dieses Proteins gelten als eine der Ursachen für das Absterben von Gehirnzellen. Das Team um Makoto Higuchi nutzte die Positronen-Emissions-Tomografie, um 3D-Bilder von Tau im Gehirn herzustellen. Die Wissenschaftler entwickelten eine Chemikalie, die sich an das Protein anbindet und während eines Gehirnscans identifiziert werden kann.

Tests mit Mäusen und möglichen Alzheimerpatienten haben ergeben, dass das Verfahren Tau wirklich erkennbar machen kann. Laut Higuchi befinden sich die Forschungen noch in einem frühen Stadium. Sie könnten jedoch eines Tages zu einem Test für Alzheimer führen. Zusätzlich könnte es möglich werden, die Auswirkungen von Medikamenten auf Tau genau zu beobachten.


In Verbindung stehende Artikel




Alzheimer: Diagnose über Augentest denkbar





Alzheimer: Anzahl beteiligter Gene auf 21 verdoppelt





Chemikalie verhindert Absterben von Gehirnzellen





Welt-Alzheimer-Tag 2013: Neue Therapiemöglichkeiten





Hoher Kupferwert im Gehirn erhöht Alzheimerrisiko





Exakter Bluttest für Alzheimer rückt näher

Publireportagen

«Ausländer-Kredit» für Investitionen in der Heimat? Immer öfter - gerade auch vor den Ferien - wird das Beratungsteam von kredit.ch angefragt, ob auch in der Schweiz lebende Ausländer die Möglichkeit haben, einen günstigen, fairen Kredit zu erhalten. Fortsetzung



Endlich: SMS versenden mit Outlook 2007/2010 St. Gallen - Das mühsame Getippe ist vorbei. Als erster Schweizer Anbieter stellt ASPSMS.COM eine Anbindung an den Mobile Service von Microsofts Outlook 2007/2010 zur Verfügung. Ohne zusätzliche Software können SMS bequem via Outlook 2007/2010 versendet werden – und das auch noch günstiger als mit dem Handy. Fortsetzung



Radiolino - Grosses Radio für kleine Ohren Radiolino ist das erste deutschsprachige Web-Radio der Schweiz für Kinder zwischen 3 und 12 Jahren. Das Programm richtet sich aber auch an Eltern, Grosseltern, Onkeln und Tanten, sprich an die ganze Familie. Fortsetzung







Gesundheit

Wackelige Bretter, starker Rumpf: Wie Float Fit und Floating Yoga das Training revolutionieren Neue Fitness-Wellen erobern die Becken: Float Fit und Floating Yoga trainieren auf schwimmenden Matten den ganzen Körper. Sie stärken Tiefenmuskeln, fördern Balance und bieten eine einzigartige Kombination aus Herausforderung und Entspannung. Ein neuer Ansatz für effektives Ganzkörpertraining. Fortsetzung


Sinuslift ohne Angst: Behandlung in Ungarn erleben Ein gesunder Mund ist weit mehr als nur ein schönes Lächeln. Wer unter Zahnproblemen leidet, spürt oft nicht nur körperliche Beschwerden, sondern auch seelischen Stress: Unsicherheit beim Sprechen, Schmerzen beim Kauen oder das ständige Gefühl, etwas aufschieben zu müssen. Besonders bei grösseren Eingriffen - wie dem Knochenaufbau - steigt bei vielen die innere Anspannung. Fortsetzung


Kraftorte der Stille: Eine Reise zu innerer Ruhe und neuer Energie Ein Rückzugsort für die Seele: Entdecken Sie die heilsame Kraft der Stille und finden Sie an ausgewählten Orten neue Energie für den Alltag. Fortsetzung


Wissen

Das FabLab Luzern: Wo Wissenschaftler auf Nerds treffen Während digitale Technologien und handwerkliches Können immer stärker verschmelzen, bieten FabLabs einen Raum für Innovation und Kreativität. Das FabLab Luzern ist ein solcher Ort, der Menschen mit unterschiedlichsten Hintergründen zusammenbringt, um Ideen zu verwirklichen. Fortsetzung


ETH-Bereich 2024: Ziele fast vollständig erreicht - Starker Impuls für Forschung und Lehre Der ETH-Bereich blickt auf ein erfolgreiches Jahr 2024 zurück: Die strategischen Vorgaben des Bundesrates wurden grösstenteils erfüllt, die Studierendenzahlen stiegen erneut um 3,6 %, und die renommierten Hochschulen ETH Zürich und EPFL behaupteten ihre Top-Platzierungen in internationalen Rankings. Fortsetzung


Umfassende Analyse der Materialflüsse veröffentlicht: Potenziale des Schweizer Holzes Holz zählt zu den nachhaltigsten, nachwachsenden und klimafreundlichen Materialien unserer Zukunft. Doch wie viel Holz ist tatsächlich verfügbar und wie können wir es bestmöglich nutzen? Forschende der Empa und WSL haben nun die Materialflüsse von Holz in der Schweiz umfassend untersucht und daraus bedeutende ungenutzte Potenziale identifiziert. Fortsetzung


Boulevard

Die Insekten-Invasion stoppen: So schützen Sie Haus und Garten im Hochsommer Der Hochsommer bringt nicht nur warme Temperaturen, sondern auch eine Vielzahl ungebetener Gäste mit sich. Wenn die Thermometer über 30 Grad klettern, erleben wir häufig eine regelrechte Invasion von Insekten, die in unseren Wohnräumen und Gärten Zuflucht suchen. Diese kleinen Lebewesen können schnell zur grossen Plage werden. Mit den richtigen Strategien lässt sich jedoch ein wirksamer Schutz aufbauen, der sowohl nachhaltig als auch umweltfreundlich ist. Fortsetzung


Haarentfernung im Check: Rasur, Wachs, Epilierer & Co. - Welche Methode überzeugt? Die Suche nach der idealen Methode zur Haarentfernung beschäftigt viele. Von der schnellen Rasur bis zur gründlichen Wachsepilation - jede Technik hat spezifische Eigenschaften. Dieser Artikel beleuchtet die gängigsten Verfahren, ihre Anwendungsbereiche sowie jeweilige Vor- und Nachteile für eine informierte Entscheidung. Fortsetzung


Saubere Aussichten: Wie Drohnen die Reinigungsbranche revolutionieren Kleine Fluggeräte übernehmen zunehmend anspruchsvolle Reinigungsaufgaben. Sie erreichen schwer zugängliche Stellen, arbeiten effizient und erhöhen die Sicherheit. Die Technologie der Reinigungsdrohnen entwickelt sich rasant und eröffnet neue Perspektiven für diverse Branchen. Fortsetzung


Stellenmarkt.ch
Peer Mitarbeiterin / Mitarbeiter Pfäfers nach Vereinbarung Deine Aufgaben Du begleitest unsere Patientinnen und Patienten in Einzelgesprächen und im Stationsalltag in deren...   Fortsetzung

Agronom/ -In Oder Naturwissenschaftler/ -In Im Fachbereich Pflanzengesundheit Liebefeld und Homeoffice |% Diesen Beitrag können Sie leisten Bekämpfungsmassnahmen gegen in der Schweiz auftretende besonders gefährliche...   Fortsetzung

Dipl. Pflegefachperson Hf / Fh Wattwil 1. Juli 2025 Deine Aufgaben Du übernimmst die bedürfnis- und ressourcenorientierte, individuelle Behandlung und Pflege unserer Patientinnen...   Fortsetzung

Katechetin / Religionslehrperson Aufgaben: Religionsunterricht in der Unter-, Mittel- und evtl. Oberstufe Mitwirkung an einzelnen Gottesdiensten Kommunikation mit Eltern...   Fortsetzung

Pflegemitarbeiter:in In Der Demenzwohngruppe Als Assistent:in Gesundheit und Soziales EBA oder Pflegemitarbeiter:in SRK begleiten und betreuen Sie die an Demenz erkrankten Bewohnenden mit Herz...   Fortsetzung

Dozentin / dozenten Mit Fachverantwortung 80 - 100 % So sieht Ihr Aufgabengebiet aus Aktualisierung, Betreuung und Weiterentwicklung von fachspezifischen Kursen und Zertifikatslehrgängen Koordination,...   Fortsetzung

Med. Praxisassistent/ in Oder Fachfrau / fachmann Gesundheit Lungenfunktionslabor Pneumologie und Schlafmedizin 100% oder nach Vereinbarung, unbefristet Ihre Aufgaben Durchführung von Lungenfunktionsuntersuchungen...   Fortsetzung

Fachperson Internatsbetrieb Amt für Landschaft und Natur Fachperson Internatsbetrieb 50% Der Strickhof ist das praxisnahe Kompetenzzentrum für nachhaltige Ernährungssysteme....   Fortsetzung