Samstag, 17. Mai 2025
VADIAN.NET, St.Gallen



Nachrichten.ch

Aktuell

Forum


Inland

Sicher spielen im Netz: Warum die Wahl eines Schweizer Casinos entscheidend ist

MINT-Förderung in der Schweiz: Kurs halten trotz rauer See

Behutsame Weiterentwicklung des Wegenetzes in Zermatt

St.Gallen stimmt ab: Faire Lastenverteilung für eine attraktive Hauptstadt

Wirtschaft

Die ultimative Flachheit: Richard Mille RM UP-01 Ferrari definiert die Grenzen der Uhrmacherei neu

Industriebetriebe im Fokus: Wie regelmässige Lüftungskontrollen die Betriebssicherheit erhöhen

Clever sparen: Umschuldung mit einem Privatkredit

Von Tagesgeld bis ETFs: Welche sicheren Anlageformen lohnen sich 2025?

Ausland

Künstliche Intelligenz, Drohnenschwärme und Hyperschallwaffen - das neue Wettrüsten

Künstliche Intelligenz: Milliardenmarkt birgt Risiko wachsender Ungleichheit

USA beschränken KI-Chips für die Schweiz

Mehr Sicherheit für das Internet der Dinge: Der Cyber Resilience Act der EU

Sport

Adrenalin pur in der Schweiz: Die besten Aktivitäten für Adrenalinjunkies

Klare Sicht, sichere Fahrt: Warum eine Brille beim Radfahren Sinn macht

Oakley Sportbrillen: Eine Legende in Design und Funktion

Wenn der Rücken drückt: Wirbelsäulenprobleme im Fussball

Kultur

Die Avantgarde im Blick: Die Sammlung Helga und Edzard Reuter wird versteigert

Lucia Moholy: Mehr als Bauhaus - Eine Pionierin im Fokus der Fotostiftung Schweiz

Initiative «Kulturexpress» belebt Thuner Kulturszene

Was sind die 3 beliebtesten Aktivitäten für Singles bei schlechtem Wetter?

Kommunikation

Präzise Planung, Fortschritt im Blick: Wie Zeiterfassung Projekte zum Erfolg führt

KI im Büro: Produktivitäts-Booster oder Image-Killer?

Smartes Bauen: Tablets als zentrale Steuerung für moderne Gebäudeautomation

Tipps zur Nutzung von Wetter-Apps für eine bessere Lebensqualität

Boulevard

Vorhänge und ihre Wirkung auf das Raumklima: Warum die richtige Wahl entscheidend ist

Wackelige Bretter, starker Rumpf: Wie Float Fit und Floating Yoga das Training revolutionieren

Die zarte Verführung: Ein Blick in die Welt der Bonbon-Boutiquen

Hormone im Ungleichgewicht: Wenn der Körper den Schlaf verweigert

Wissen

Aufwind für die Berufskarriere: Bundesrat stärkt höhere Berufsbildung

Hoffnung im Kampf gegen die «stille Pandemie»: Innovative Sensoren spüren Superkeime auf

Das FabLab Luzern: Wo Wissenschaftler auf Nerds treffen

ETH-Bereich 2024: Ziele fast vollständig erreicht - Starker Impuls für Forschung und Lehre

Wetter


Kolumne


Möchten Sie zu diesen Themen eine eigene
Internetpräsenz aufbauen?

www.teilnehmer.info  www.symptomen.de  www.anzeichen.ch  www.ermoeglicht.com  www.erkrankungen.info  www.geheimnis.de  www.digitales.ch  www.gehirnspendern.com  www.lebensbereichen.info  www.bibliothek.de  www.auftreten.ch

Registrieren Sie jetzt komfortabel attraktive Domainnamen!

Branchenbuch.ch
Domainregistration seit 1995
Internes

Impressum


Werbung


Publireportagen


Newsfeed


Die veröffentlichten Inhalte sind ausschliesslich zum persönlichen Gebrauch bestimmt. Die Vervielfältigung, Publikation oder Speicherung in Datenbanken, jegliche kommerzielle Nutzung sowie die Weitergabe an Dritte sind nicht gestattet.

Nachrichten.ch (c) Copyright 2025 by news.ch / VADIAN.NET AG

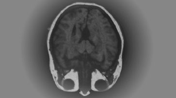
Digitales Archiv mit menschlichen Gehirnen entsteht

San Diego - Das Brain Observatory baut derzeit ein digitales Archiv mit menschlichen Gehirnen auf. Diese Bibliothek soll Ärzte bei der Heilung lebensbedrohlicher Erkrankungen unterstützen.

awe / Quelle: pte / Freitag, 28. Februar 2014 / 09:58 h

Ermöglicht wird dieses Archiv durch die Hilfe von rund 300 Gehirnspendern. Sie gehören allen Lebensbereichen an. Ein Teil der Teilnehmer ist gesund, andere leiden an lebensbedrohlichen Erkrankungen des Gehirns.

Nach dem Tod gespendet

Die Patienten werden während ihres Lebens einer Reihe von Tests unterzogen.



Das menschliche Gehirn wird nun in eine neue Technologie eingebunden. /

Nach ihrem Tod spenden sie ihre Gehirne. Scheiben des Gehirns werden gescannt und die Bilder digital gespeichert. Sie sollen Ärzten ermöglichen, nach Hinweisen auf neurologische Erkrankungen und dem Geheimnis der Langlebigkeit des Menschen zu suchen. Jacopo Annese, der Gründer des Brain Observatory, geht davon aus, dass die in der Bibliothek enthaltenen Informationen lange vor dem Auftreten von Symptomen dabei helfen könnten, verräterische Anzeichen von ernsten Erkrankungen des Gehirns zu entdecken.

In Verbindung stehende Artikel




«Glashirn»: Virtuelle Reise in Echtzeit





Hightech-Gehirnimplantat ermöglicht neue Therapien





Menschliche Gehirne in Miniaturgrösse gezüchtet

Publireportagen

«Ausländer-Kredit» für Investitionen in der Heimat? Immer öfter - gerade auch vor den Ferien - wird das Beratungsteam von kredit.ch angefragt, ob auch in der Schweiz lebende Ausländer die Möglichkeit haben, einen günstigen, fairen Kredit zu erhalten. Fortsetzung



Endlich: SMS versenden mit Outlook 2007/2010 St. Gallen - Das mühsame Getippe ist vorbei. Als erster Schweizer Anbieter stellt ASPSMS.COM eine Anbindung an den Mobile Service von Microsofts Outlook 2007/2010 zur Verfügung. Ohne zusätzliche Software können SMS bequem via Outlook 2007/2010 versendet werden – und das auch noch günstiger als mit dem Handy. Fortsetzung



Radiolino - Grosses Radio für kleine Ohren Radiolino ist das erste deutschsprachige Web-Radio der Schweiz für Kinder zwischen 3 und 12 Jahren. Das Programm richtet sich aber auch an Eltern, Grosseltern, Onkeln und Tanten, sprich an die ganze Familie. Fortsetzung







Gesundheit

Sinuslift ohne Angst: Behandlung in Ungarn erleben Ein gesunder Mund ist weit mehr als nur ein schönes Lächeln. Wer unter Zahnproblemen leidet, spürt oft nicht nur körperliche Beschwerden, sondern auch seelischen Stress: Unsicherheit beim Sprechen, Schmerzen beim Kauen oder das ständige Gefühl, etwas aufschieben zu müssen. Besonders bei grösseren Eingriffen - wie dem Knochenaufbau - steigt bei vielen die innere Anspannung. Fortsetzung


Kraftorte der Stille: Eine Reise zu innerer Ruhe und neuer Energie Ein Rückzugsort für die Seele: Entdecken Sie die heilsame Kraft der Stille und finden Sie an ausgewählten Orten neue Energie für den Alltag. Fortsetzung


Hyaluron: Was ist dran am Schönheits-Hype? Eine neutrale Betrachtung Hyaluron ist in aller Munde, wenn es um Hautpflege und Anti-Aging geht. Doch was verbirgt sich wirklich hinter diesem vielgepriesenen Stoff? Eine neutrale Betrachtung der Fakten. Fortsetzung


Wissen

Umfassende Analyse der Materialflüsse veröffentlicht: Potenziale des Schweizer Holzes Holz zählt zu den nachhaltigsten, nachwachsenden und klimafreundlichen Materialien unserer Zukunft. Doch wie viel Holz ist tatsächlich verfügbar und wie können wir es bestmöglich nutzen? Forschende der Empa und WSL haben nun die Materialflüsse von Holz in der Schweiz umfassend untersucht und daraus bedeutende ungenutzte Potenziale identifiziert. Fortsetzung


Pflanzliche Kraft bei Husten: Natürliche Linderung bei Atemwegsinfekten Ein hartnäckiger Husten begleitet oft das Ausklingen von Atemwegsinfekten. Doch die Natur bietet wirksame Unterstützung: Pflanzliche Arzneimittel, deren Effektivität durch wissenschaftliche Studien untermauert wird, können die Beschwerden deutlich lindern. Fortsetzung


KI prognostiziert Lebenserwartung basierend auf EKGs Ein innovatives KI-Modell ist in der Lage, die verbleibende Lebenserwartung eines Menschen präzise aus seinem Elektrokardiogramm (EKG) abzuleiten. Dieses Modell bewertet das Risiko für verschiedene Krankheiten sowie deren Verlauf in den kommenden Jahren. Der Einsatz einer derartigen Technologie könnte Ärzten helfen, schneller zu erkennen, wer dringend medizinische Unterstützung benötigt. Anhand einer EKG-Kurve erhalten Ärzte wertvolle Informationen über den Gesundheitszustand des Herzens. Fortsetzung


Boulevard

Luzern feiert die Vielfalt der Gemeinschaft: Ein Tag der Begegnung und Verbundenheit Am Freitag, dem 23. Mai 2025, steht Luzern ganz im Zeichen der nachbarschaftlichen Beziehungen. Unter der Federführung der städtischen Quartierarbeit und in enger Zusammenarbeit mit engagierten Bürgerinnen und Bürgern sowie lokalen Initiativen, lädt die Stadt zu einem vielfältigen Tag der Nachbarschaft ein. Fortsetzung


Importe sichern Schweizer Ei-Versorgung angesichts steigender Nachfrage Die Vorliebe der Schweizer Bevölkerung für Eier nimmt stetig zu. Um dieser Entwicklung Rechnung zu tragen und eine kontinuierliche Versorgung zu gewährleisten, hat der Bundesrat Anpassungen bei den Importbestimmungen beschlossen. Diese Massnahme dient dazu, mögliche Engpässe bis zum Jahresende zu vermeiden. Fortsetzung


Die faszinierende Welt des Glasblasens entdecken: Einblicke in ein altes Handwerk mit Zukunft Entdecken Sie die Kunst und Wissenschaft hinter der Transformation von geschmolzenem Glas. Fortsetzung


Stellenmarkt.ch
Dipl. Pflegefachfrau / Pflegefachmann Imc Intermediate-Care Und Stroke Unit Medizin % Nach Vereinbarung, unbefristet Ihre Aufgaben Die kompetente Pflege und Überwachung der Patientinnen und Patienten mit Schwerpunkt...   Fortsetzung

Dozent:in / mitarbeiter:in Für «Ai Law And Legal Tech», 60-80% (Co-Besetzung Mögli Departement: School of Management and Law Arbeitsbeginn: 1. Julioder nach Vereinbarung Aufgaben Sie sind mitverantwortlich für die Lehre zu «AI Law / ...   Fortsetzung

Berufsbildner/ in Fage 50 % 100 % Begleiten. Befähigen. Begeistern. Sie engagieren sich mit Herz für junge Menschen und möchten die Pflege von morgen mitgestalten? Dann sind Sie bei...   Fortsetzung

Flying Berufsbildner:in Pflege Hf XUND setzt sich ein für die Aus- und Weiterbildung von genügend und qualifizierten Gesundheitsfachkräften für die Zentralschweiz. Das Bildungszentrum...   Fortsetzung

Spezialisten Im Bereich Materialflusssysteme Spezialisten im Bereich Materialflusssysteme (m/ w/ d) - technischen Anlagen/ Lager/ Logistik / GMP / Pharma/ Deutsch/ Englisch Projekt / Rolle: Für...   Fortsetzung

Lehrperson Berufskunde Für Den Fachbereich Fachfrau/ -Mann Betreuung Efz Zur Ergänzung unseres Teams der Grundbildung am Standort Rheineck suchen wir per 1. Augusteine Erfüllen des Berufsauftrages für Lehrpersonen an...   Fortsetzung

Production Expert In The Inspection Team Production expert in the inspection team- visuellen Kontrolle / GMP / Pharma/ EDV-Kenntnisse / 2-Schicht / Deutsch Projekt / Rolle: Für unseren...   Fortsetzung

Studiengangsmanager*in Ausbildung | Sekundarstufe I | 50 %   Ihre Aufgaben Unterstützung der Studiengangsleitung «Sekundarstufe II - gymnasiale Bildung» in...   Fortsetzung