Montag, 19. Mai 2025
VADIAN.NET, St.Gallen



Nachrichten.ch

Aktuell

Forum


Inland

Sicher spielen im Netz: Warum die Wahl eines Schweizer Casinos entscheidend ist

MINT-Förderung in der Schweiz: Kurs halten trotz rauer See

Behutsame Weiterentwicklung des Wegenetzes in Zermatt

St.Gallen stimmt ab: Faire Lastenverteilung für eine attraktive Hauptstadt

Wirtschaft

Ob Kosmetik, Dosen oder Wahlplakate: auf die Druckqualität kommt es an

Von Bar bis QR-Code: geeignete Zahlungskombination für kleine Unternehmen einrichten

Camping St. Moritz: Neues Infrastrukturgebäude feierlich eröffnet - Saisonstart Ende Mai

Padel auf dem Wasser: Arosa plant eine Schweizer Premiere für den Sommer 2025

Ausland

KI-Chips: Tauwetter aus Washington? USA rudern bei Exportregeln zurück

Künstliche Intelligenz, Drohnenschwärme und Hyperschallwaffen - das neue Wettrüsten

Künstliche Intelligenz: Milliardenmarkt birgt Risiko wachsender Ungleichheit

USA beschränken KI-Chips für die Schweiz

Sport

Lenzerheide 2025: Die Weltelite des Mountainbike-Sports und ein emotionaler Abschied

Adrenalin pur in der Schweiz: Die besten Aktivitäten für Adrenalinjunkies

Klare Sicht, sichere Fahrt: Warum eine Brille beim Radfahren Sinn macht

Oakley Sportbrillen: Eine Legende in Design und Funktion

Kultur

Beyond Blue: Eine Basler Entdeckungsreise in die unendlichen Facetten einer Farbe

Die Avantgarde im Blick: Die Sammlung Helga und Edzard Reuter wird versteigert

Lucia Moholy: Mehr als Bauhaus - Eine Pionierin im Fokus der Fotostiftung Schweiz

Initiative «Kulturexpress» belebt Thuner Kulturszene

Kommunikation

Präzise Planung, Fortschritt im Blick: Wie Zeiterfassung Projekte zum Erfolg führt

KI im Büro: Produktivitäts-Booster oder Image-Killer?

Smartes Bauen: Tablets als zentrale Steuerung für moderne Gebäudeautomation

Tipps zur Nutzung von Wetter-Apps für eine bessere Lebensqualität

Boulevard

Die ultimative Flachheit: Richard Mille RM UP-01 Ferrari definiert die Grenzen der Uhrmacherei neu

Vorhänge und ihre Wirkung auf das Raumklima: Warum die richtige Wahl entscheidend ist

Wackelige Bretter, starker Rumpf: Wie Float Fit und Floating Yoga das Training revolutionieren

Die zarte Verführung: Ein Blick in die Welt der Bonbon-Boutiquen

Wissen

Aufwind für die Berufskarriere: Bundesrat stärkt höhere Berufsbildung

Hoffnung im Kampf gegen die «stille Pandemie»: Innovative Sensoren spüren Superkeime auf

Das FabLab Luzern: Wo Wissenschaftler auf Nerds treffen

ETH-Bereich 2024: Ziele fast vollständig erreicht - Starker Impuls für Forschung und Lehre

Wetter


Kolumne


Möchten Sie zu diesen Themen eine eigene
Internetpräsenz aufbauen?

www.behandlung.ch  www.ignoranz.at  www.medienhysterie.de  www.lungenentzuendung.org  www.gesetzes.info  www.zufaelle.net  www.epidemiegesetz.com  www.schweinegrippe.ch  www.propaganda.at  www.anhaenger.de  www.hysterie.org

Registrieren Sie jetzt komfortabel attraktive Domainnamen!

Branchenbuch.ch
Domainregistration seit 1995
Internes

Impressum


Werbung


Publireportagen


Newsfeed


Die veröffentlichten Inhalte sind ausschliesslich zum persönlichen Gebrauch bestimmt. Die Vervielfältigung, Publikation oder Speicherung in Datenbanken, jegliche kommerzielle Nutzung sowie die Weitergabe an Dritte sind nicht gestattet.

Nachrichten.ch (c) Copyright 2025 by news.ch / VADIAN.NET AG

Schutz für jene, die keine Wahl haben

Am 22. September wird über das neue Epidemiegesetz abgestimmt. Und die Alternativmedizin-Anhänger, Impf-Gegner und Pseudoheiler rufen zum Sturm auf gegen eine Anpassung eines Gesetzes, das alle schützt.

Patrik Etschmayer / Quelle: news.ch / Freitag, 30. August 2013 / 11:44 h

Wer auf die Websites der Impfgegner geht und die dort aufgestellten Behauptungen anschaut, bekommt geradezu Gänsehaut. Da werden Studien präsentiert, die Impfschäden beweisen sollen und im ersten Moment scheinen die Zahlen auch die Hysterie zu bestätigen. Bis man feststellt, dass die angeführten Studien von Impf-Gegner-Organisationen durchgeführt wurden und die erhobenen Zahlen offenbar auf Umfragen beruhen, bei denen die befragte Gruppe nicht zufällig ausgewählt wurde, sondern dort offenbar vor allem jene antworteten, die glaubten, bei ihren Kindern einen Impfschaden erkannt zu haben. Ja, es wird auf der einen Impf-Gegner-Seite sogar dazu aufgerufen, an einer Studie online teilzunehmen, damit diese mehr Kraft erhalte. Scheinbar ist diesen lebensgefährlichen Humoristen nicht das alte Prinzip: «Rubbish in - Rubbish out» bekannt. Oder anders gesagt: Mehr schlechte Daten als Grundlage verwandeln Schrott nicht in Gold.

Das soll nicht darüber hinwegtäuschen, dass es tatsächlich ein Datenproblem gibt, da eine breite Untersuchung der effektiven Auswirkungen von Impfungen praktisch nicht möglich ist, da es durch die immer noch gute Durchimpfung der Bevölkerung hier keine «Kontrollgruppe» gibt, da die Ungeimpften vom Gruppenschutz der vielen Geimpften profitieren. Zudem ist das Nachfolgen grosser Zahlen Geimpfter und Ungeimpfter fast nicht möglich. Allerdings lässt sich anhand der Diphtherie ziemlich klar sehen, was passiert, wenn nicht mehr geimpft wird (wie auf dem Territorium der ehemaligen Sowjet-Union).

Doch beim Epidemiegesetz geht es nicht primär darum, sondern um die Tatsache, dass sich Infektionskrankheiten heutzutage viel schneller global ausbreiten können. Natürlich verdrehen heute sehr viele Leute die Augen, wenn sie von «Schweinegrippe» und «Vogelgrippe» hören. Das Argument, dass eh nichts komme, weil die letzten Male glimpflich abgelaufen sind, ist begreiflich, vor allem angesichts der damals herrschenden Medienhysterie.



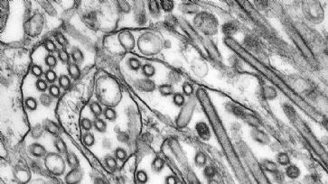
Epidemologische Zeitbombe: H5N1 - «Vogelgrippe»-Virus /

Doch die Evolution ist gnadenlos und früher oder später wird ein Killervirus kommen.

Die letzte dramatische Pandemie war natürlich nicht jene von 2009, deren Virus sich zwar weltweit verbreitete, dessen Symptome aber glücklicherweise je länger je schwächer wurden. Vor 45 Jahren hingegen kostete eine Pandemie ca. 1 Million Menschen das Leben, wobei einige glückliche Zufälle dazu führten, dass nicht wesentlich mehr Menschen starben (siehe Wikipedia-Artikel «Hong Kong Flu»).

Doch es entstehen ständig neue Grippeviren und der H5N1 Virus, populär bekannt als «Vogelgrippe-Virus» ist dank seiner hohen Mutationsrate auch heute noch eine Zeitbombe. Zwar seien - vor allem durch Impfungen! - grosse Zuchtvogelbestände immunisiert, aber es komme immer wieder zu Ausbrüchen und Forschungen haben gezeigt, dass dieser Virus nur wenig Mutationen davon entfernt ist, durch die Luft von Säugetier auf Säugetier übertragbar zu sein. Menschen, die von H5N1 befallen werden, entwickeln eine virale Lungenentzündung und die Todesrate liegt bei schockierenden 60%, wobei diese Zahl vermutlich wesentlich tiefer liegt, da jene mit milderen Fällen dieser Grippe vermutlich nicht in Behandlung gingen und deshalb nicht in der Statistik auftauchen. Doch selbst eine 10%-Mortalität wäre absolut verheerend.

Wenn ein solcher Killer-Virus sich verbreitet - und er würde dank der extrem grossen Mobilität heutzutage rasend schnell auf allen Kontinenten ankommen können - muss es möglich sein, Leute zu impfen und jene, die sich nicht impfen lassen wollen, von denen, die nicht geimpft werden können (Menschen mit chronischen Krankheiten, Neugeborene, Alt, Allergiker), fern zu halten.

Es ist klar, dass solche Massnahmen nur bei bedrohlichen Krankheiten getroffen werden dürfen. Die Möglichkeit, die wahrgenommene eigene körperliche Integrität vor das Allgemeinwohl zu stellen, muss gewahrt bleiben, dies ist der Preis der Freiheit. Doch ebenso muss die Allgemeinheit - vertreten durch den Staat - jene schützen, die keine Wahl haben.

Und jeder und jede die glaubt, dass Pandemien und Epidemien nur Propaganda sind, um Geld zu machen, beweist damit höchstens, wie entfernt viele Leute heute von der Realität leben und mit welcher Arroganz und Ignoranz sie die Natur betrachten und vielfach auch idealisieren. Wir sind nichts, als ganz normale Organismen, die sehr attraktiv für Krankheitserreger aller Art sind. Wir haben aber den Verstand und die Mittel, uns gegen einige von diesen zu verteidigen. Dem Staat für den Notfall die Mittel dafür zu geben, ist nichts als logisch.


Links zum Artikel:

Wikipedia zur Hong Kong Grippe Der englische Wikipedia-Artikel zur Hong Kong-Grippe Pandemie (Deutsche Version sehr kurz und unvollständig)

Wikipedia zum H5N1 Virus Ausführliche Infos zum «Vogelgrippe»-Virus.

Wikipedia zur Diphterie Artikel zur Diphterie und was passiert, wenn die Durchimpfung zu tief ist


In Verbindung stehende Artikel




Von der Kindersarg-Lobby





Spanien meldet zwei Schweinegrippe-Tote in Saragossa





Schweiz verbietet Einfuhr für Geflügel und Eier aus Teilen Italiens





Vogelgrippe: Enten als Ausgangspunkt identifiziert





USA warnen vor möglichem Cholera-Ausbruch





Gegner des Epidemiengesetz fürchten Impfmacht des Bunds





Verdacht einer Vogelgrippe-Ansteckung von Vater auf Tochter





Tamiflu: Wirksamkeit bei Pandemie umstritten





Syrien: Mehr Epidemien durch humanitäres Desaster





Zehn Jahre nach SARS: H7N9

Publireportagen

«Ausländer-Kredit» für Investitionen in der Heimat? Immer öfter - gerade auch vor den Ferien - wird das Beratungsteam von kredit.ch angefragt, ob auch in der Schweiz lebende Ausländer die Möglichkeit haben, einen günstigen, fairen Kredit zu erhalten. Fortsetzung



Endlich: SMS versenden mit Outlook 2007/2010 St. Gallen - Das mühsame Getippe ist vorbei. Als erster Schweizer Anbieter stellt ASPSMS.COM eine Anbindung an den Mobile Service von Microsofts Outlook 2007/2010 zur Verfügung. Ohne zusätzliche Software können SMS bequem via Outlook 2007/2010 versendet werden – und das auch noch günstiger als mit dem Handy. Fortsetzung



Radiolino - Grosses Radio für kleine Ohren Radiolino ist das erste deutschsprachige Web-Radio der Schweiz für Kinder zwischen 3 und 12 Jahren. Das Programm richtet sich aber auch an Eltern, Grosseltern, Onkeln und Tanten, sprich an die ganze Familie. Fortsetzung








Gute alte Zeit? Warum die Türe zu bleiben muss! In den USA ist bei einer Frau mit Harnwegsinfektion zum ersten mal ein Bakterium aufgetaucht, das gegen das letzte Reserve-Antibiotikum resistent ist. Wer Angst vor ISIS hat, sollte sich überlegen, ob er seinen Paranoia-Focus nicht neu einstellen will. Denn das hier ist jenseits aller im Alltag sonst verklickerten Gefahren anzusiedeln. Fortsetzung


Pharma/BioTech

Der Datenanalyst - Ein Beruf mit Gegenwart und Zukunft Im digitalen Zeitalter und angesichts der kontinuierlich ansteigenden Datenmengen kommt einem bestimmten Berufsfeld immer grössere Bedeutung zu: dem Datenanalysten. Doch was verbirgt sich hinter dieser Bezeichnung, und welche Aufgaben übernimmt ein Datenanalyst? Verschaffen Sie sich einen Überblick über den gefragten Beruf Datenanalyst und über alle Studiengänge und Weiterbildungsmöglichkeiten in der Schweiz. Fortsetzung



Roche bekämpft kritische Tamiflu-Studie London/Basel - Jahrelang hat ein Forschergremium mit der Pharmafirma Roche darum gerungen, die Forschungsresultate zur Wirksamkeit des Grippemittels Tamiflu öffentlich zu machen. Nun kommen die Wissenschaftler zum Schluss: Seine Wirkung sei höchstens bescheiden. Fortsetzung


Gesundheit

Sinuslift ohne Angst: Behandlung in Ungarn erleben Ein gesunder Mund ist weit mehr als nur ein schönes Lächeln. Wer unter Zahnproblemen leidet, spürt oft nicht nur körperliche Beschwerden, sondern auch seelischen Stress: Unsicherheit beim Sprechen, Schmerzen beim Kauen oder das ständige Gefühl, etwas aufschieben zu müssen. Besonders bei grösseren Eingriffen - wie dem Knochenaufbau - steigt bei vielen die innere Anspannung. Fortsetzung


Gesellschaft

Luzern feiert die Vielfalt der Gemeinschaft: Ein Tag der Begegnung und Verbundenheit Am Freitag, dem 23. Mai 2025, steht Luzern ganz im Zeichen der nachbarschaftlichen Beziehungen. Unter der Federführung der städtischen Quartierarbeit und in enger Zusammenarbeit mit engagierten Bürgerinnen und Bürgern sowie lokalen Initiativen, lädt die Stadt zu einem vielfältigen Tag der Nachbarschaft ein. Fortsetzung


Bundesrat

Importe sichern Schweizer Ei-Versorgung angesichts steigender Nachfrage Die Vorliebe der Schweizer Bevölkerung für Eier nimmt stetig zu. Um dieser Entwicklung Rechnung zu tragen und eine kontinuierliche Versorgung zu gewährleisten, hat der Bundesrat Anpassungen bei den Importbestimmungen beschlossen. Diese Massnahme dient dazu, mögliche Engpässe bis zum Jahresende zu vermeiden. Fortsetzung


Inland

Schweizer Hotellerie atmet auf: Planungssicherheit bis über 2027 hinaus gesichert Die Schweizer Beherbergungsbranche blickt optimistisch in die Zukunft. Nachdem der Nationalrat bereits die Weichen für stabile Mehrwertsteuersätze gestellt hat, präsentiert der Bundesrat nun eine umfassende Überarbeitung der Investitionsförderung. Fortsetzung


Stellenmarkt.ch
Dozent:in Sozialversicherungsrecht 70 - 100% Departement: School of Management and Law Arbeitsbeginn: 1. Januaroder nach Vereinbarung Aufgaben Verantwortung für die Lehre im Bereich...   Fortsetzung

Operator Chemie Unsere Kundin ist ein namhaftes Pharma-Unternehmen im Fricktal. Zur Unterstützung des bestehenden Teams, suchen wir per sofort oder nach Vereinbarung...   Fortsetzung

Fachfrau / fachmann Gesundheit Suchen Sie ein offenes, hilfsbereites und engagiertes Team mit einer Prise Humor? Im Spital Muri geht es nicht nur um eine ganzheitliche,...   Fortsetzung

Kaufmännische*r Mitarbeiter*in 60% Sie interessieren sich für eine Tätigkeit im Non-Profit-Bereich und finden entwicklungspolitische Fragen spannend. Sie sind selbständiges Arbeiten...   Fortsetzung

Jurist*in Für Nachlassbelange Dauerstelle Kindes- und Erwachsenenschutzbehörde Infolge eines internen Stellenwechsels wird bei uns eine Stelle als Jurist*in Nachlassbelange% frei....   Fortsetzung

Geschäftsführerin Aufgaben & Herausforderungen Gesamtverantwortung für die operative Leitung von Avenergy Suisse mit rund 30 Mitgliedsfirmen und 10 Mitarbeitenden...   Fortsetzung

Senior Operator Filling 100 % Die Ophtapharm AG ist eine FDA/ EU-GMP zertifizierte Produzentin im Pharmabereich (Ophthalmika). An unserem Produktionsstandort in Hettlingen bei...   Fortsetzung

Dipl. Pflegefachperson Hf/ fh Arana Care ist eine ambulante Pflegeorganisation mit eigenen Niederlassungen und Partnerstandorten in der Deutschschweiz. Wir haben uns auf die...   Fortsetzung