Mittwoch, 14. Mai 2025
VADIAN.NET, St.Gallen



Nachrichten.ch

Aktuell

Forum


Inland

Behutsame Weiterentwicklung des Wegenetzes in Zermatt

St.Gallen stimmt ab: Faire Lastenverteilung für eine attraktive Hauptstadt

Importe sichern Schweizer Ei-Versorgung angesichts steigender Nachfrage

Schweizer Hotellerie atmet auf: Planungssicherheit bis über 2027 hinaus gesichert

Wirtschaft

Feuerprobe in Europa: NIO greift mit dem Firefly an

Welche Inhalte in Printmedien wirklich wirken - und wie Sie sie leserpsychologisch platzieren

Aufwind für die Berufskarriere: Bundesrat stärkt höhere Berufsbildung

Hyaluron: Was ist dran am Schönheits-Hype? Eine neutrale Betrachtung

Ausland

Künstliche Intelligenz, Drohnenschwärme und Hyperschallwaffen - das neue Wettrüsten

Künstliche Intelligenz: Milliardenmarkt birgt Risiko wachsender Ungleichheit

USA beschränken KI-Chips für die Schweiz

Mehr Sicherheit für das Internet der Dinge: Der Cyber Resilience Act der EU

Sport

Klare Sicht, sichere Fahrt: Warum eine Brille beim Radfahren Sinn macht

Oakley Sportbrillen: Eine Legende in Design und Funktion

Wenn der Rücken drückt: Wirbelsäulenprobleme im Fussball

Fliessende Bewegung, aktive Achtsamkeit: Tai Chi - Mehr als nur Schattenboxen

Kultur

Lucia Moholy: Mehr als Bauhaus - Eine Pionierin im Fokus der Fotostiftung Schweiz

Initiative «Kulturexpress» belebt Thuner Kulturszene

Was sind die 3 beliebtesten Aktivitäten für Singles bei schlechtem Wetter?

Gemeinsame Fahrt am See: Das VeloPicknick verbindet Konstanz und Kreuzlingen

Kommunikation

Tipps zur Nutzung von Wetter-Apps für eine bessere Lebensqualität

Die Rendite-Triade: ROI, ROMI und ROAS im Fokus der Erfolgskontrolle

Veröffentlichung von Immobilienanzeigen: Boosten Sie die Wirkung, nicht das Budget

Immobilien: Wenn die Digitalisierung die Leistung steigert

Boulevard

Einschränkungen bei sechs Berner Familiengartenarealen

Luzern feiert die Vielfalt der Gemeinschaft: Ein Tag der Begegnung und Verbundenheit

Sinuslift ohne Angst: Behandlung in Ungarn erleben

Kraftorte der Stille: Eine Reise zu innerer Ruhe und neuer Energie

Wissen

Hoffnung im Kampf gegen die «stille Pandemie»: Innovative Sensoren spüren Superkeime auf

Das FabLab Luzern: Wo Wissenschaftler auf Nerds treffen

ETH-Bereich 2024: Ziele fast vollständig erreicht - Starker Impuls für Forschung und Lehre

Workshop Elektronische Steuererklärung: Antworten und Erklärungen zu eTax.AT

Wetter


Kolumne


Möchten Sie zu diesen Themen eine eigene
Internetpräsenz aufbauen?

www.ausweitung.com  www.wissenschaftler.com  www.internationalen.com  www.gebaermutterhalskrebs.c ...  www.ergebnisse.com  www.todesursache.com  www.ausbreitung.com  www.krebsrisiko.com  www.lebensstils.com  www.versorgung.com  www.krebserkrankungen.com

Registrieren Sie jetzt komfortabel attraktive Domainnamen!

Branchenbuch.ch
Domainregistration seit 1995
Internes

Impressum


Werbung


Publireportagen


Newsfeed


Die veröffentlichten Inhalte sind ausschliesslich zum persönlichen Gebrauch bestimmt. Die Vervielfältigung, Publikation oder Speicherung in Datenbanken, jegliche kommerzielle Nutzung sowie die Weitergabe an Dritte sind nicht gestattet.

Nachrichten.ch (c) Copyright 2025 by news.ch / VADIAN.NET AG

Krebserkrankungen nehmen dramatisch zu

Lyon - Wissenschaftler befürchten in den kommenden zwanzig Jahren einen dramatischen Anstieg der Krebserkrankungen in der ganzen Welt. Die Rate von Neuerkrankungen könnte bis 2030 weltweit um 75 Prozent wachsen, heisst es in einer Studie, die in der Online-Ausgabe der Zeitschrift «Lancet Oncology» vom Freitag veröffentlicht ist.

alb / Quelle: sda / Freitag, 1. Juni 2012 / 07:39 h

In den ärmsten Entwicklungsländern sieht die Lage demnach sogar noch schlimmer aus. Hier könnte es einen Anstieg von 90 Prozent geben, wie die Forscher des Internationalen Krebsforschungszentrums IARC im französischen Lyon berichten. Sie mahnten, dass sowohl wohlhabende als auch Schwellen- und Entwicklungsländer sich vorbereiten und effektive Präventionsmassnahmen entwickeln müssten. Grund für die Ausbreitung seien unter anderem die sich ändernden Lebensbedingungen und -gewohnheiten, erklärte Studienleiter Freddie Bray der Nachrichtenagentur dpa. Mit der Ausweitung des «typisch westlichen Lebensstils» steige auch das Krebsrisiko. Dazu gehörten sich ändernde Ernährungsgewohnheiten, wachsende Probleme mit Fettsucht, Rauchen oder weniger Bewegung.



Dramatischer Anstieg der Krebserkrankungen befürchtet. /

Auch die Tatsache, dass Frauen mit wachsendem Wohlstand immer später und immer weniger Kinder bekommen, erhöhe die Gefahr, etwa an Brustkrebs zu erkranken, erklärte Bray. Weiterer Faktor ist das höhere Alter, das Menschen in wohlhabenden Ländern erreichen. Eines der Ergebnisse ist aber auch, dass bestimmte Krebsarten wie etwa Gebärmutterhalskrebs, die häufig durch Infektionen ausgelöst werden, durch bessere medizinische Versorgung zurückgehen. Dieser Rückgang allerdings gleiche sich durch die Zunahme anderer, typisch «westlicher» Krebsarten mehr als aus, heisst es. «Krebs ist in vielen Ländern mit hohen Einkommen schon jetzt die Haupt-Todesursache», sagte Bray. In den kommenden Jahren werde sich dies auf die ganze Welt ausweiten. «Diese Studie zeigt, dass global gehandelt werden muss, um die wachsende Belastung durch Krebs zu verringern.»

In Verbindung stehende Artikel




Basler Methode kann Gefährlichkeit von Brustkrebs ertasten





Tabuthema Krebs: Kinder wissen kaum Bescheid





Brustzentren in Basel und St. Gallen erhalten Qualitätslabel





Südkoreas Firmen verweigern Rauchern Karriere





Vier von zehn Menschen erkranken an Krebs

Publireportagen

«Ausländer-Kredit» für Investitionen in der Heimat? Immer öfter - gerade auch vor den Ferien - wird das Beratungsteam von kredit.ch angefragt, ob auch in der Schweiz lebende Ausländer die Möglichkeit haben, einen günstigen, fairen Kredit zu erhalten. Fortsetzung



Endlich: SMS versenden mit Outlook 2007/2010 St. Gallen - Das mühsame Getippe ist vorbei. Als erster Schweizer Anbieter stellt ASPSMS.COM eine Anbindung an den Mobile Service von Microsofts Outlook 2007/2010 zur Verfügung. Ohne zusätzliche Software können SMS bequem via Outlook 2007/2010 versendet werden – und das auch noch günstiger als mit dem Handy. Fortsetzung



Radiolino - Grosses Radio für kleine Ohren Radiolino ist das erste deutschsprachige Web-Radio der Schweiz für Kinder zwischen 3 und 12 Jahren. Das Programm richtet sich aber auch an Eltern, Grosseltern, Onkeln und Tanten, sprich an die ganze Familie. Fortsetzung







Gesundheit

Wenn die Tage zur Belastung werden: Was wirklich bei PMS hilft Einmal im Monat kann sich der weibliche Körper anfühlen wie eine ungeliebte Baustelle. Stimmungsschwankungen, Unterleibsschmerzen, Müdigkeit - die Liste der Beschwerden, die mit dem prämenstruellen Syndrom (PMS) einhergehen können, ist lang und vielfältig. Doch Betroffene sind diesem monatlichen «Blues» nicht hilflos ausgeliefert. Es gibt eine Reihe von Ansätzen, die Linderung verschaffen und die Lebensqualität in diesen Tagen verbessern können. Fortsetzung


Frühjahrszeit bedeutet Herausforderung für Allergiker: Wie Betroffene ihre Augen schützen können Die alljährliche Pollensaison stellt für einen wachsenden Teil der Bevölkerung eine erhebliche Belastung dar. In der Schweiz leidet mittlerweile jeder fünfte Mensch an Heuschnupfen, eine Entwicklung, die sich seit den 1970er-Jahren mit einer Verdopplung der Betroffenenzahlen manifestiert hat. Verstärkt durch den Klimawandel, der zu verlängerten und sich überschneidenden Pollenflugzeiten führt, suchen Allergiker nach effektiven Strategien, um ihre Beschwerden zu mildern. Fortsetzung


Nicht nur frischer Atem: Das überraschende Potenzial des Kaugummis Längst ist der Kaugummi mehr als nur ein Mittel für frischen Atem. Angereichert mit spezifischen Inhaltsstoffen, entfaltet er überraschende Wirkungen auf Gesundheit und Wohlbefinden. Ein Blick auf die Geschichte, die Materialien und die innovativen Entwicklungen dieses kleinen Alltagsbegleiters. Fortsetzung


Wissen

Umfassende Analyse der Materialflüsse veröffentlicht: Potenziale des Schweizer Holzes Holz zählt zu den nachhaltigsten, nachwachsenden und klimafreundlichen Materialien unserer Zukunft. Doch wie viel Holz ist tatsächlich verfügbar und wie können wir es bestmöglich nutzen? Forschende der Empa und WSL haben nun die Materialflüsse von Holz in der Schweiz umfassend untersucht und daraus bedeutende ungenutzte Potenziale identifiziert. Fortsetzung


Pflanzliche Kraft bei Husten: Natürliche Linderung bei Atemwegsinfekten Ein hartnäckiger Husten begleitet oft das Ausklingen von Atemwegsinfekten. Doch die Natur bietet wirksame Unterstützung: Pflanzliche Arzneimittel, deren Effektivität durch wissenschaftliche Studien untermauert wird, können die Beschwerden deutlich lindern. Fortsetzung


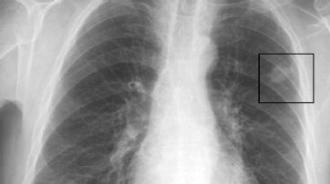
KI prognostiziert Lebenserwartung basierend auf EKGs Ein innovatives KI-Modell ist in der Lage, die verbleibende Lebenserwartung eines Menschen präzise aus seinem Elektrokardiogramm (EKG) abzuleiten. Dieses Modell bewertet das Risiko für verschiedene Krankheiten sowie deren Verlauf in den kommenden Jahren. Der Einsatz einer derartigen Technologie könnte Ärzten helfen, schneller zu erkennen, wer dringend medizinische Unterstützung benötigt. Anhand einer EKG-Kurve erhalten Ärzte wertvolle Informationen über den Gesundheitszustand des Herzens. Fortsetzung


Boulevard

Die faszinierende Welt des Glasblasens entdecken: Einblicke in ein altes Handwerk mit Zukunft Entdecken Sie die Kunst und Wissenschaft hinter der Transformation von geschmolzenem Glas. Fortsetzung


Ein Ort der Würde und des Gedenkens: Erstes alevitisches Grabfeld in der Schweiz eröffnet Bern erhält eine neue Ruhestätte, die den Bedürfnissen der alevitischen Gemeinschaft entspricht und ein Zeichen für religiöse Vielfalt setzt. Fortsetzung


Glacier 3000: Hochalpines Erlebnis zwischen Gstaad und Les Diablerets Faszination auf 3000 Metern: Wo eine Brücke Gipfel verbindet und das Alpenpanorama zum Greifen nah scheint. Glacier 3000 - ein hochalpines Erlebnis zwischen Nervenkitzel und Naturwunder, leicht erreichbar zwischen Gstaad und Les Diablerets. Fortsetzung


Stellenmarkt.ch
Fachperson Gesundheit EFZ 60% - 80 % (m/ w/ d) Aufgaben Fachgerechte, gezielte und individuelle Pflege, Begleitung und Betreuung unserer Bewohnenden mit körperlicher Behinderung Professioneller...   Fortsetzung

Fachdidaktiker/ in Rhythmik und Musik Werden Sie Teil unseres Teams! Wir setzen auf die Komplementarität der Kompetenzen und die Vielfalt der Perspektiven, denn es ist die breite Palette...   Fortsetzung

Pflegehelfer:in SRK 50% - 80 % Aufgaben Professionelle, gezielte und individuelle Pflege, Begleitung und Betreuung unserer Bewohnenden mit körperlicher Behinderung Spitex-Pflege...   Fortsetzung

Wissenschaftliche:r Mitarbeiter:in 70% <h3 class="textStyle_h5 mb_s24 mt_s8">* <em>die Anzeige auf Französisch ist unten</ em> * Ihre Aufgaben Sie wirken aktiv und selbstständig bei der...   Fortsetzung

Fachfrau/ -mann Gesundheit (FaGe) Für einen befristeten Vertrag von 8 bis 12 Monaten mit der Möglichk Aufgaben Sie erbringen eine qualitativ hochstehende Pflege in Zusammenarbeit mit dem Patienten und seinem Umfeld, wobei Sie das geltende...   Fortsetzung

Fachdidaktiker/ in für Mathematik auf der Sekundarstufe 2 Anstellungsbehörde / Verwaltungseinheit / Anstalt Die Universität Freiburg ist Bildungsstätte, Forschungsplatz, Arbeitgeberin und...   Fortsetzung

Dipl. Pflegefachfrau/ -mann Für einen befristeten Vertrag von 8 bis 12 Monaten mit der Möglichkeit de Aufgaben Sie erbringen eine qualitativ hochstehende Pflege in Zusammenarbeit mit den Patientinnen und Patienten und ihrem Umfeld, wobei Sie das...   Fortsetzung

Projektleiter/ Projektleiterin trinationale S-Bahn (80%-100%) Dein Wirkungsfeld: Zusammen mit uns gestaltest du das künftige Angebot der trinationalen S-Bahn Basel Aus unserem Projektportfolio mit Themen zu...   Fortsetzung