Dienstag, 15. Juli 2025
VADIAN.NET, St.Gallen



Nachrichten.ch

Aktuell

Forum


Inland

Winterthurs Wiesen blühen und bieten Insekten ein Zuhause

Kulturhauptstadt Schweiz 2030: Thun lädt zur Mitgestaltung ein

Schweizer Anwaltsverband fordert rasche Ratifikation neuer Europaratskonvention

Basels Parkraumentwicklung: Mehr Platz für die Stadt, innovative Lösungen für effizienteres Parken

Wirtschaft

Bitterstoffe: Eine Reise zu den Wurzeln der Gesundheit

Betriebswirtschafter HF: Der umfassende Berufsleitfaden

Vermögensdiversifikation: Nachhaltige Strategien für eine stabile Zukunft

Buvetten in Solothurn: Neuer Start im Jahr 2026

Ausland

Globaler Gesundheitspakt: Die Welt rüstet sich für künftige Pandemien

OpenAI nimmt Kurs auf die Emirate: Pläne für KI-Rechenzentren von enormer Dimension

KI-Chips: Tauwetter aus Washington? USA rudern bei Exportregeln zurück

Künstliche Intelligenz, Drohnenschwärme und Hyperschallwaffen - das neue Wettrüsten

Sport

Uhrmacherkunst trifft High-Tech-Rennsport: H. Moser & Cie. und Alpine Motorsports

Wassersport in Lenzerheide: Vielfalt am Heidsee und darüber hinaus

Thun-Süd: Ein neues Zentrum für Sport und Freizeit entsteht

Bewegung im Freien: Solothurn eröffnet neuen Kraftplatz

Kultur

Basel Tattoo 2025: Eine Bühne für globale Klänge

Viadukt Museum Langwies: Neue Perspektiven auf ein Jahrhundertbauwerk

Künstliche Intelligenz im Kino: Zwei Welten, zwei Strategien

Kunst im Dialog: Kirchner und Baselitz - Eine fesselnde Gegenüberstellung

Kommunikation

Die Premium-Klasse: In-Ear Bluetooth Kopfhörer im Detailvergleich

Nexberg Bewertungen: Ein Broker, der grenzenlose Liquidität bietet

So holt man mehr aus Wetter-Apps heraus - auf dem Smartphone und am PC

So finden Sie einen passenden Hausarzt in der Schweiz: Tipps für Patienten und Familien

Boulevard

Warum Bildungsurlaub für in Deutschland beschäftigte Arbeitnehmer ein unterschätzter Karrierefaktor ist

Entsorgung in Kreuzlingen: Alternative Sammelstellen nach Brandereignis

Gstaad: Sommererlebnisse zwischen Tradition und Innovation

Erfolgreiche Ansiedlung: Das Comeback der Steinkrebse im Appenzellerland

Wissen

Plagiatsprüfung an Schweizer Hochschulen: Rechtliche Grundlagen und zeitgemässe Praxis

Gehirn auf dem Chip: Wie 800.000 Neuronen einen Computer antreiben

Der digitale Tumor-Scan: Präzisionsdiagnose per KI

Ein neues Gesicht für die Kulturlandschaft von St. Moritz

Wetter


Kolumne


Möchten Sie zu diesen Themen eine eigene
Internetpräsenz aufbauen?

www.schwangerschaft.org  www.auktionshaus.net  www.hoechstpreise.ch  www.verkaufspreises.com  www.fehlgeburt.org  www.schauspielerin.net  www.wochenende.ch  www.roentgenbilder.com 

Registrieren Sie jetzt komfortabel attraktive Domainnamen!

Branchenbuch.ch
Domainregistration seit 1995
Internes

Impressum


Werbung


Publireportagen


Newsfeed


Die veröffentlichten Inhalte sind ausschliesslich zum persönlichen Gebrauch bestimmt. Die Vervielfältigung, Publikation oder Speicherung in Datenbanken, jegliche kommerzielle Nutzung sowie die Weitergabe an Dritte sind nicht gestattet.

Nachrichten.ch (c) Copyright 2025 by news.ch / VADIAN.NET AG

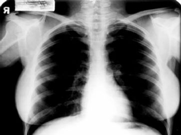
Höchstpreise für Röntgenbilder Monroes

New York/Las Vegas - Private Fotos von Marilyn Monroe haben auf einer Auktion in den USA Höchstpreise erzielt: Für drei Röntgenbilder der Schauspielerin haben Sammler in Las Vegas am Wochenende 45'000 Dollar bezahlt, wie das Auktionshaus bestätigte.

fest / Quelle: sda / Montag, 28. Juni 2010 / 17:19 h

25'000 Dollar kostete die frontale Aufnahme, jeweils 10'000 Dollar zwei von der Seite.



Anfangspreis für die Röntgenbilder von 1952 war 600 bis 800 Dollar. / Foto: juliensauctions.com

Die Bilder waren im November 1952 in einem Spital in Los Angeles aufgenommen worden, als Gerüchte über eine Schwangerschaft oder Fehlgeburt der 28-Jährigen aufkamen. Das Auktionshaus selbst hatte nur ein Zehntel des späteren Verkaufspreises erwartet. Der Stuhl, auf dem die letzten Fotos von Monroe gemacht wurden, ging für 35'000 Dollar weg.

Kate Winslets Ohrringe aus «Titanic» kosteten 25'000 Dollar und etwas mehr, 26'250 Dollar, waren für ein Kleid von Cher aus dem Jahr 1975 fällig. Für Audrey Hepburns Garderobe musste mehr als das Doppelte hingelegt werden: Das Kleid aus dem Film «Ein süsser Fratz» von 1957 ging für 56'250 Dollar weg.

 


In Verbindung stehende Artikel




Marilyn Monroes letzte Villa kommt unter den Hammer

Publireportagen

«Ausländer-Kredit» für Investitionen in der Heimat? Immer öfter - gerade auch vor den Ferien - wird das Beratungsteam von kredit.ch angefragt, ob auch in der Schweiz lebende Ausländer die Möglichkeit haben, einen günstigen, fairen Kredit zu erhalten. Fortsetzung



Endlich: SMS versenden mit Outlook 2007/2010 St. Gallen - Das mühsame Getippe ist vorbei. Als erster Schweizer Anbieter stellt ASPSMS.COM eine Anbindung an den Mobile Service von Microsofts Outlook 2007/2010 zur Verfügung. Ohne zusätzliche Software können SMS bequem via Outlook 2007/2010 versendet werden – und das auch noch günstiger als mit dem Handy. Fortsetzung



Radiolino - Grosses Radio für kleine Ohren Radiolino ist das erste deutschsprachige Web-Radio der Schweiz für Kinder zwischen 3 und 12 Jahren. Das Programm richtet sich aber auch an Eltern, Grosseltern, Onkeln und Tanten, sprich an die ganze Familie. Fortsetzung







Kino

Prinzessin Leias Bikini «Return of the Jedi» für 175.000 Dollar verkauft Das ikonische goldene Bikini-Kostüm, das von Carrie Fisher am Set von «Die Rückkehr der Jedi-Ritter» getragen wurde, wurde bei einer Auktion für 175.000 Dollar verkauft. Fortsetzung


«Ozempic Face»: Hollywoods Schlankheitswahn mit unschönen Folgen Das Streben nach dem perfekten Körper hat in Hollywood eine neue, unschöne Wendung genommen: das sogenannte «Ozempic Face». Ein eingefallenes, ausgemergeltes Gesicht, das durch den Missbrauch des Diabetesmedikaments Ozempic zur Gewichtsabnahme entsteht. Doch dieser fragwürdige Trend wirft Fragen auf: Wie entsteht das Ozempic Face? Was kann man dagegen tun? Und welche Auswirkungen hat es auf die Schönheitsindustrie? Fortsetzung


Uhren von Sylvester Stallone kommen unter den Hammer Aktuell sorgt Sylvester Stallone für Aufsehen, diesmal unter Uhrensammlern, denn ein Teil seiner Sammlung exklusiver Luxusuhren soll bei Sotheby's zur Versteigerung angeboten werden. Fortsetzung


Kultur

Von PS-Pionieren und Alpenstrassen: 100 Jahre Automobil in Graubünden Die St. Moritz Design Gallery im Parkhaus Serletta präsentiert diesen Sommer eine besondere Ausstellung. Unter dem Titel «Benzin, Berge, Boom» wird die Entwicklung des Automobils in Graubünden über die letzten hundert Jahre beleuchtet. Fortsetzung


Sandra Piretti: Eine Traumreise durch Mythos und Unterbewusstsein Die Nyoner Fotografin Sandra Piretti lädt mit ihrer neuen Ausstellung «NOUS SOMMES LES RÊVEURS» zu einer visuellen Entdeckungsreise ein, die die Grenzen zwischen Realität und Traum verwischt. Erleben Sie eine einzigartige Bildwelt, die tief in die menschliche Seele blickt. Fortsetzung


Appenzeller Farbenpracht: Fachleute tagen zum Erhalt der regionalen Baukultur Im Juni 2025 wird das Appenzellerland zum Zentrum der Denkmalpflege. Rund 160 Fachleute treffen sich, um über die einzigartige Farbigkeit der regionalen Architektur zu diskutieren. Im Mittelpunkt stehen der Erhalt des kulturellen Erbes und die lebendige Baukultur der beiden Kantone Appenzell Innerrhoden und Ausserrhoden. Fortsetzung


People

Das Café Ritz in Zug: Eine Legende kehrt zurück ins Stadtbild Im Herzen der malerischen Stadt Zug, genauer gesagt am oberen Landsgemeindeplatz, hat ein Name seine Wiederauferstehung gefeiert, der bei vielen Einheimischen nostalgische Gefühle weckt: das Café Ritz. Nach einer Phase der Ungewissheit und einer kurzen Ära unter anderer Flagge erstrahlt das Lokal nun wieder in altem Glanz und verspricht, erneut zu einem beliebten Treffpunkt im städtischen Leben zu werden. Fortsetzung


Ausstellung von Kurt Hofmann und Ueli Hertig Im malerischen Saanenland, genauer gesagt im traditionsreichen Heimatwerk Saanen, erwartet Kunstliebhaber vom 11. Januar bis 15. März 2025 ein ganz besonderes Ereignis: Die Ausstellung der Künstler Kurt Hofmann und Ueli Hertig. Hier treffen zwei unterschiedliche künstlerische Welten aufeinander und schaffen so ein faszinierendes Zusammenspiel von Farben, Formen und traditionellem Handwerk. Fortsetzung


Jeff Becks Gitarrensammlung unter dem Hammer Am 22. Januar 2025 wird das bekannte Auktionshaus Christie's in London eine einzigartige Sammlung von Gitarren und Musikequipment versteigern: «Jeff Beck: The Guitar Collection». Highlights der Sammlung konnte zuvor in Los Angeles öffentlich besichtigt werden. Die Auktion umfasst über 130 Gegenstände aus dem Besitz des 2023 verstorbenen Gitarrenvirtuosen Jeff Beck, darunter Gitarren, Verstärker, Effektpedale und weiteres Zubehör. Fortsetzung


Stellenmarkt.ch
Sachbearbeiterin / Sachbearbeiter 60% für den Bereich Mitgliederverwaltung. Deine Hauptaufgabe ist die administrative Betreuung und die Beratung der Schweizer Filmschaffenden. Aufgaben...   Fortsetzung

Management Praktikant:in Management Praktikant:in 100% Arbeitsort: Zürich Betrieb: Hauptsitz Suchst du en guete Job mit Freiraum für Ideen und Kreativität in einem lebendigen...   Fortsetzung

Einrichtungs-Beraterin / innenarchitektin Als Retail-Leiterin "sales Store & Servi Ihre Aufgaben: Hauptverantwortung über den gesamten Retail-Bereich des Unternehmens, von der Umsatz- und Deckungsbeitragsverantwortung über die...   Fortsetzung

Allrounder Cinema für Einsätze unter der Woche sowie an Wochenenden und Feiertagen im Stundenlohn. Nach der Einarbeitungsphase wirst du gemäss Einsatzplan deine...   Fortsetzung

Leiter Events & Erlebnisse In Knies Zauberhut 80-100% Deine Hauptaufgaben: Gewährleistung sämtlicher Betriebsabläufe der Eventlocation Knies Zauberhut Organisation und Koordination von Anlässen jeglicher...   Fortsetzung

Mitarbeiterin / Mitarbeiter Verkauf Kasse Und Check-Out Arbeiten, wo das Leben passiert Unser Herz schlägt für die Schweizer Gastronomie. Mit viel Engagement sind wir für unsere Kunden da. In unseren 31...   Fortsetzung

Gesucht Bei Beautyclouds: Hairstylistin, Nageldesignerin, Lash- & Brow-Stylistin Sowie Pediküristin. Nur Frauen!!! Gesucht bei BeautyClouds: Hairstylistin, Nageldesignerin, Lash- & Brow-Stylistin sowie Pediküristin, Nur Frauen!!!! BeautyClouds ist ein...   Fortsetzung

Praktikant Catering & Events 100% Zürich Ihre Aufgaben: Freundlich-professionelle Entgegennahme sämtlicher Reservationsanfragen per Telefon/ E-Mail und kompetente Kundenberatung. Führen von...   Fortsetzung