Freitag, 16. Mai 2025
VADIAN.NET, St.Gallen



Nachrichten.ch

Aktuell

Forum


Inland

Sicher spielen im Netz: Warum die Wahl eines Schweizer Casinos entscheidend ist

MINT-Förderung in der Schweiz: Kurs halten trotz rauer See

Behutsame Weiterentwicklung des Wegenetzes in Zermatt

St.Gallen stimmt ab: Faire Lastenverteilung für eine attraktive Hauptstadt

Wirtschaft

Clever sparen: Umschuldung mit einem Privatkredit

Von Tagesgeld bis ETFs: Welche sicheren Anlageformen lohnen sich 2025?

Die 5 wichtigsten Funktionen einer modernen Personalsoftware

Präzise Planung, Fortschritt im Blick: Wie Zeiterfassung Projekte zum Erfolg führt

Ausland

Künstliche Intelligenz, Drohnenschwärme und Hyperschallwaffen - das neue Wettrüsten

Künstliche Intelligenz: Milliardenmarkt birgt Risiko wachsender Ungleichheit

USA beschränken KI-Chips für die Schweiz

Mehr Sicherheit für das Internet der Dinge: Der Cyber Resilience Act der EU

Sport

Adrenalin pur in der Schweiz: Die besten Aktivitäten für Adrenalinjunkies

Klare Sicht, sichere Fahrt: Warum eine Brille beim Radfahren Sinn macht

Oakley Sportbrillen: Eine Legende in Design und Funktion

Wenn der Rücken drückt: Wirbelsäulenprobleme im Fussball

Kultur

Die Avantgarde im Blick: Die Sammlung Helga und Edzard Reuter wird versteigert

Lucia Moholy: Mehr als Bauhaus - Eine Pionierin im Fokus der Fotostiftung Schweiz

Initiative «Kulturexpress» belebt Thuner Kulturszene

Was sind die 3 beliebtesten Aktivitäten für Singles bei schlechtem Wetter?

Kommunikation

KI im Büro: Produktivitäts-Booster oder Image-Killer?

Smartes Bauen: Tablets als zentrale Steuerung für moderne Gebäudeautomation

Tipps zur Nutzung von Wetter-Apps für eine bessere Lebensqualität

Die Rendite-Triade: ROI, ROMI und ROAS im Fokus der Erfolgskontrolle

Boulevard

Vorhänge und ihre Wirkung auf das Raumklima: Warum die richtige Wahl entscheidend ist

Wackelige Bretter, starker Rumpf: Wie Float Fit und Floating Yoga das Training revolutionieren

Die zarte Verführung: Ein Blick in die Welt der Bonbon-Boutiquen

Hormone im Ungleichgewicht: Wenn der Körper den Schlaf verweigert

Wissen

Aufwind für die Berufskarriere: Bundesrat stärkt höhere Berufsbildung

Hoffnung im Kampf gegen die «stille Pandemie»: Innovative Sensoren spüren Superkeime auf

Das FabLab Luzern: Wo Wissenschaftler auf Nerds treffen

ETH-Bereich 2024: Ziele fast vollständig erreicht - Starker Impuls für Forschung und Lehre

Wetter


Kolumne


Möchten Sie zu diesen Themen eine eigene
Internetpräsenz aufbauen?

www.computer.com  www.insulinpumpe.com  www.maschinenwelt.com  www.herzschrittmachern.com  www.geldautomaten.com  www.verwundbarkeit.com  www.enthuellung.com  www.sicherheitsluecken.com  www.idealist.com  www.sicherheit.com  www.todesursache.com

Registrieren Sie jetzt komfortabel attraktive Domainnamen!

Branchenbuch.ch
Domainregistration seit 1995
Internes

Impressum


Werbung


Publireportagen


Newsfeed


Die veröffentlichten Inhalte sind ausschliesslich zum persönlichen Gebrauch bestimmt. Die Vervielfältigung, Publikation oder Speicherung in Datenbanken, jegliche kommerzielle Nutzung sowie die Weitergabe an Dritte sind nicht gestattet.

Nachrichten.ch (c) Copyright 2025 by news.ch / VADIAN.NET AG

Barnaby Jack: Der Tod eines «guten Hackers»

Barnaby Jack wollte mit seinen «Hack-Shows» auf die Verwundbarkeit unserer fernsteuerbaren, automatisierten Computer- und Maschinenwelt hinweisen. Am 25. Juli wurde er tot in San Francisco aufgefunden. Todesursache: unbekannt. Er wurde 35 Jahre alt.

David Jerome Putnam / Quelle: news.ch mit Agenturen / Mittwoch, 31. Juli 2013 / 23:47 h

Er war weder ein zwielichtiger Hacker noch ein Hacktivist à la «Anonymous», sondern wohl am ehesten ein «Sicherheitsforscher» und humanistischer Idealist. «Die Welt» ehrt ihn mit den Titeln «Technologie-Magier», «Spiegel-Vorhalter», «Mahner für mehr Sicherheit».

2010 brachte er - auf einer Bühne in Las Vegas - einen Geldautomaten dazu, Geld auszuspucken.



Barnaby Jack bei seiner Bühnenshow in Las Vegas, 2010. /

Er musste nur ein paar Codes von seinem Laptop aus knacken und schon war er Herr des Bankomaten. 2011 manipulierte er mit Leichtigkeit eine implantierbare Insulinpumpe - und bewies damit, dass diese Pumpe - in den falschen Händen- zu einer Todesspritze umfunktioniert werden konnte.

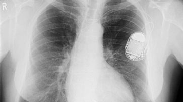
In diesem Jahr beabsichtigte er die Enthüllung von Sicherheitslücken bei Herzschrittmachern - und zwar bei den zugehörigen Funkwartungsprogrammen. Sein eigenes Herz machte leider vorzeitig nicht mehr mit.

In Verbindung stehende Artikel




Smart Homes öffnen Hackern Tür und Tor





UNO alamiert wegen unsicherer Handy-Technologie





Gute Hacker sind gefragte Arbeitskräfte





Anonymous: Internetverbrecher oder Hacktivisten?





Hack-Risiko: «Massenmord» per Herzschrittmacher

Publireportagen

«Ausländer-Kredit» für Investitionen in der Heimat? Immer öfter - gerade auch vor den Ferien - wird das Beratungsteam von kredit.ch angefragt, ob auch in der Schweiz lebende Ausländer die Möglichkeit haben, einen günstigen, fairen Kredit zu erhalten. Fortsetzung



Endlich: SMS versenden mit Outlook 2007/2010 St. Gallen - Das mühsame Getippe ist vorbei. Als erster Schweizer Anbieter stellt ASPSMS.COM eine Anbindung an den Mobile Service von Microsofts Outlook 2007/2010 zur Verfügung. Ohne zusätzliche Software können SMS bequem via Outlook 2007/2010 versendet werden – und das auch noch günstiger als mit dem Handy. Fortsetzung



Radiolino - Grosses Radio für kleine Ohren Radiolino ist das erste deutschsprachige Web-Radio der Schweiz für Kinder zwischen 3 und 12 Jahren. Das Programm richtet sich aber auch an Eltern, Grosseltern, Onkeln und Tanten, sprich an die ganze Familie. Fortsetzung








Schweiz unterzeichnet Europaratskonvention zur Künstlichen Intelligenz Am 27. März 2025 wird Bundesrat Albert Rösti in Strassburg im Namen der Schweiz die Konvention des Europarats über Künstliche Intelligenz (KI) sowie Menschenrechte, Demokratie und Rechtsstaatlichkeit unterzeichnen. Diese Unterzeichnung bekräftigt das Engagement der Schweiz für einen verantwortungsvollen und grundrechtskonformen Einsatz von KI-Technologien. Fortsetzung


Kanton Bern: Cybercrimepolice.ch startet mit neuem Design und nationalem Fokus Ab sofort ist die Plattform Cybercrimepolice.ch in einem modernen Design und mit einem umfassenden nationalen Ansatz online. In enger Zusammenarbeit zwischen der Kantonspolizei Bern und der Kantonspolizei Zürich wird die Website betrieben, um die Bevölkerung über Internetkriminalität aufzuklären und zu warnen. Dieses zukunftsweisende Projekt erhält wertvolle Unterstützung von der Konferenz der Kantonalen Polizeikommandantinnen und -kommandanten der Schweiz (KKPKS). Fortsetzung


Aufbewahrung von Dokumenten im Zeitalter der Digitalisierung Unternehmen und Privatpersonen nutzen zunehmend digitale Lösungen, um Informationen sicher und schnell zugänglich zu halten. Dies reduziert nicht nur den Platzbedarf für physische Ablagen, sondern ermöglicht auch eine effizientere Organisation und Verwaltung von Unterlagen. Fortsetzung


Kommunikation

Aarau präsentiert sich neu: Frischer Wind für visuelle Identität Die Stadt Aarau hat einen bedeutenden Schritt in Richtung Zukunft unternommen und ihr Erscheinungsbild umfassend modernisiert. Das Ergebnis dieser Entwicklung, die ein neues Logo und eine angepasste Schrift beinhaltet, wurde nun der Öffentlichkeit vorgestellt. Fortsetzung


Aroser KI-Kampagne erntet weitere Anerkennung für innovative Tourismuswerbung Arosa Tourismus hat mit seiner zu Jahresbeginn 2024 gestarteten, auf künstlicher Intelligenz basierenden Kampagne erneut für Aufsehen gesorgt. Der Ansatz, individuelle Urlaubsträume von Gästen in digitale Kunstwerke zu verwandeln und diese in die Marketingaktivitäten zu integrieren, wurde nun mit zwei weiteren renommierten Preisen gewürdigt. Fortsetzung


Jobs im Qualitätsmanagement: Mehr als nur Kontrolle Die Globalisierung und der zunehmende Wettbewerbsdruck stellen Unternehmen vor immer grössere Herausforderungen. Um langfristig erfolgreich zu sein, müssen Produkte und Dienstleistungen nicht nur den Erwartungen der Kunden entsprechen, sondern diese idealerweise übertreffen. Hier kommt das Qualitätsmanagement ins Spiel. Fortsetzung


Informatik

KI-Suche: Bequemer für Nutzer, riskant für Webseiten Googles neue KI-Zusammenfassungen liefern Antworten direkt, doch Webseiten verzeichnen weniger Klicks. Betreiber fürchten Umsatzrückgänge. Eine Zeitenwende für die Online-Welt? Fortsetzung


Marketagent setzt auf die Innovationskraft von Glaut Durch den rasanten technologischen Fortschritt bestimmt Künstliche Intelligenz (KI) immer mehr unser Leben und Wirtschaften. Nun erobert sie auch die Welt der Marktforschung. Das renommierte Online Research Institut Marketagent Schweiz geht hierbei einen zukunftsorientierten Schritt und kooperiert mit dem jungen, dynamischen Start-up Glaut. Fortsetzung


Auto Shanghai 2025: Das Epizentrum der automobilen Elektro-Revolution Die Auto Shanghai 2025 öffnet ihre Tore als globales Epizentrum der automobilen Transformation. Im Fokus: die unaufhaltsame Elektro-Revolution, Chinas Innovationskraft und der verschärfte Wettbewerb zwischen etablierten und neuen Herstellern. Ein Schaufenster für wegweisende Technologien und die Mobilität von morgen. Fortsetzung


Stellenmarkt.ch
Ict System Administrator Emmen Das kannst du bewegen IT-Wächter: Du hältst unsere Linux- und Windows-Server sowie Clients am Laufen und sorgst dafür, dass unser Netzwerk...   Fortsetzung

Java Software Entwickler Deine Aufgaben Du setzt anspruchsvolle Anforderungen in gute Software-Lösungen um Du sorgst dafür, dass dein Code auch in der Produktionsumgebung...   Fortsetzung

Junior Projektleiter*in Wirkungsmessung & Datenanalyse 60-80% Bern, Schweiz (hybrid) Deine Aufgaben Gesuche prüfen & Wirkungslogik analysieren Du prüfst vierteljährlich eingehende Gesuche zur Verkehrssicherheit...   Fortsetzung

Nis/ gis It-Projektleiter / Administrator Deine Aufgaben Leitung und Mitarbeit in relevanten NIS/ GIS-Projekten sowie Koordination externer Dienstleister Bearbeitung von...   Fortsetzung

Cybersecurity Consultant & Architect Für unseren Kunden, ein etabliertes, international tätiges Schweizer Unternehmen mit starkem Fokus auf Innovation und regulatorische Exzellenz,...   Fortsetzung

Sap Lead Consultant - Sap Senior Logistik Consultant Unser namhafter Auftraggeber gilt als Vorzeigeunternehmen aus der Produktionsbranche und schreibt seit seiner Gründung vor 50 Jahren...   Fortsetzung

Test Engineer Frontend Services Was dich erwartet Sicherstellung des manuellen undautomatisierten Testings von Kundenanforderungen im Bereich Frontend Services Erstellung,...   Fortsetzung

Berater Für Bauprojektmanagement Software In Zürich De/ f Früher war Kemptthal bekannt für die feinen Suppen und Gewürze von Maggi. An diesem geschichtsträchtigen Ort wollen wir Würze in dein Berufsleben...   Fortsetzung